These are injuries to the Proximal Interphalangeal Joint (middle joint) of the finger. They happen quite often in sport where you go to catch the ball and it hyperextends your finger and dislocates, or from diving to the ground for a catch or tackle and bend your finger back.
The most common symptoms are pain and swelling, lack of movement and a finger that looks crooked or misshapen in some way, and is difficult to move.
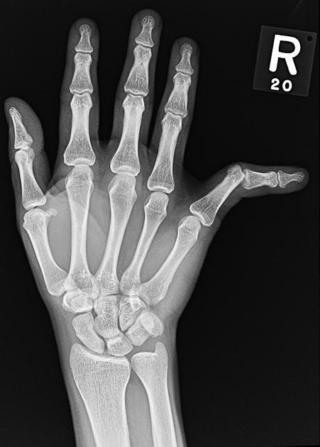
Management: Don’t try to fix it yourself. Keep your finger still, don’t move it around, as you may worsen the injury. There could be a fracture as well. Try and get some ice onto it quickly. It is important to see an expert as soon as possible – go to Emergency or Urgent to have an X-ray and have the dislocation reduced (put back in place). Once the bones are back in place you can commence hand therapy – ideally within a few days.
There is a tendency to want to relocate the finger yourself or get someone near your to do so – it is best to avoid this as a fractured fragment could end up in your joint and cause damage long term.
If you sprained your finger, or feel like it dislocated, then relocated itself, there is still likely to be injured ligaments and swelling that need management. Sometimes stiffness can develop over a few weeks if you keep on playing the sport, or don’t seek treatment. Our Accredited Hand Therapists have expertise in the finger, hand, wrist and elbow. They can assess the finger and determine whether they can treat the injury or whether medical intervention is required.
If the ligaments do not heal satisfactorily, the joint may become unstable and prone to further dislocations, loss of finger function, long-term joint stiffness, or arthritis. Early intervention and hand therapy can help to minimise these risks.
Our Therapists will assess the finger, check for instability, swelling and range of motion, and treat accordingly. They will likely fabricate a custom splint to stabilise the joint, provide some tape for swelling control and give you the correct exercises to ensure that your range of motion is recovered quickly.
They can also advise you on safe return to sport. If you delay treatment until after the season and still have a stiff finger, our hand therapists can help with appropriate splinting and specific exercise programs to help your recovery.
Classification of PIP joint injuries
PIP joint dislocations are classified according to the direction of the dislocation. The most common is dorsal dislocation.
There can be a volar plate avulsion +/- bone fragment. This is the big ligament on the front of the joint The collateral ligaments (ligaments on the side of the joint) are usually intact
The next most common are lateral/dorsolateral
There is usually a tear of the collateral ligaments, and there can be damage to the volar plate as well.



